Evolving Frontiers in Immunohistochemistry: Applications and Transformations in Modern Biotechnology
This blog post was written by Applied Pathology Systems (APS). Based in Massachusetts, Applied Pathology Systems (APS) is a premier, research-driven histopathology laboratory. APS offers end-to-end services, including general and special histology, IHC, ultra-high-plex protein and RNA staining, complemented by advanced imaging, quantitative image analysis and expert pathological evaluation. As a CLIA-certified facility, they also provide the regulatory rigor and scientific expertise required to support clinical trials, clinical studies and anatomic pathology clinical services. Their services are available on Scientist.com.
Immunohistochemistry (IHC) has emerged as a powerful technique in biomedical research, revolutionizing our understanding of cellular and tissue biology. By combining the principles of immunology and histology, IHC allows researchers to visualize and analyze the distribution, localization and abundance of specific proteins within tissues. Its versatile application spans various domains including cancer biology, neuroscience, immunology and developmental biology. This overview will outline the broad-ranging applications, as well as the dynamic technology evolvement and development of IHC across clinical settings and multiple purposes within biomedical research.
From Protein Marker Detection to Broad Research Applications. Single IHC stain with chromogenic detection remains as a routine in clinical diagnosis, but it has been used in many emerging and specialized applications.
-
Predictive Biomarkers for Targeted Therapies: Beyond standard diagnosis, single IHC is the “gold standard” for determining eligibility for high-cost targeted drugs.
- Antibody-Drug Conjugates (ADCs): Used to quantify target antigen density (e.g., TROP2 or HER2) to predict if a tumor will respond to specific ADCs.
- Companion Diagnostics (CDx): Essential for stratifying patients for therapies like immunotherapy (PD-L1) or hormone therapies.
-
Pharmacodynamic Studies (PD): In drug development, single IHC is used to track the path of a drug within the body.
- Anti-Drug Antibodies: Detecting where a biotherapeutic drug has actually landed in the tissue to confirm target engagement or off-target binding.
- Mechanism of Action (MoA): Visualizing changes in a single downstream protein (e.g., a phosphorylated signaling molecule) to prove a drug is working at the cellular level.
- Measurement of Treatment Efficacy: Detection of the essential disease progression markers has become a key element in clinical trials or clinical studies.
- Binding Site Prediction and Biodistribution of Therapeutic Antibodies: Antibodies have been developed as treatments targeting specific targets. Applying human-on-human technology can allow us to test a therapeutic antibody or a lead antibody for its potential binding tissues to predict the efficacy or off-target effects. It requires careful tissue benchmarking and protocol validation, but it can be done very cost-effectively on Tissue Micro Array (TMA) slides.
-
Digital Pathology and AI-Driven Quantification: Single IHC is increasingly paired with artificial intelligence (AI) to move from subjective visual scoring to precise numerical data.
- Automated Image Analysis: AI tools like Halo or Visiopharm calculate exact cell counts, staining intensity and distance to tumor margins.
- Virtual Multiplexing: Digitally aligning multiple single-stained serial sections to create a “pseudo-multiplex” image without the chemical complexity of staining multiple markers on one slide.
-
Target and Antibody Validation: Single IHC is the primary method for validating results from other “omics” layers.
- RNA-ISH Correlation: Confirming that high gene expression found in RNA sequencing actually results in functional protein in the correct cellular compartment (e.g., membrane vs. nucleus).
- Clone Screening and Selection: Antibody clone screening is a critical process for evaluating and comparing the efficacy, specificity and yield of individual candidates during both the design phase and large-scale biomanufacturing. It is also a general practice to use single IHC to test new antibody clones for specificity and sensitivity before moving into expensive multiplex panels.
-
Infectious Disease and Neurodegenerative Pathogenesis:
- Pathogen Localization: Identifying the exact cell types infected by emerging viruses (like Zika or CMV).
- Protein Aggregation: Tracking the spread of amyloid-β or tau in neurodegenerative disease models to map disease progression.

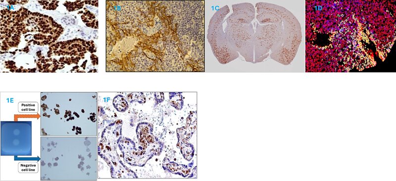
Figure 1. Applications of IHC in clinical practice and biomedical research. 1A: Detection of ERα in a breast tissue guides the diagnosis and treatment of breast cancer. 1B: PD-L1 as a companion diagnostic marker was validated in APS laboratory. 1C: Expression and deposition of Amyloid-β in hippocampus play a central role in the pathogenesis of Alzheimer disease. 1D: A drug candidate (green) was shown to be associated with a tumor marker expression in mouse brain (yellow). 1E: IHC antibody screening on engineered cell lines. IHC signal was detected in a positive cell line but not in a negative knockout cell line. 1F. With Human-on-human IHC detection technology, an therapeutic antibody was confirmed to bind to its target human placenta.
From Single to Multiplexing Protein Markers Detection: One of the prominent trends in IHC in biotech research is multiplexing, which involves the simultaneous detection of multiple antigens within a single tissue section. This allows researchers to analyze complex biological processes and interrelationships between different biomolecules within the same sample. Driven by rapid technological evolution, the capacity for multiplexing has expanded from a few targets to ultra-high-plex panels of 100 or more.

Figure 2: Current trends in immunohistochemistry study. Left: multiplexed staining of CD4, CD8, FoxP3 and GrzyB in mouse spleen. Middle: PhenoCycler Fusion automation and Imaging systems in APS laboratory. Digital pathology system at APS allows us to analyze the spatial relationship between PD-L1 positive cells and Ki-67 positive cells
From Protein Marker Multiplex to Multi-Omics: It has been known apart from proteins, other molecules such as RNAs and cytokines are involved in biological regulation, signal transduction or mediation of specific biological processes. Multi-omics studies provide a holistic view of biological systems by integrating molecular data across different layers, such as RNA and proteins, to uncover complex disease mechanisms. This powerful tool will enable tremendous applications in many areas of research.
a. Tumor Microenvironment (TME) Analysis: Researchers use these tools to map the distribution of immune cells and their functional states within tumors, facilitating better subtyping and treatment prediction.
b. Immunological Research: Multi-omics allows for the detailed study of immune cell activation, identifying how different cell types communicate through cytokines during inflammation or infection.
c. Biomarker and Target Discovery: Combining RNA and protein data helps identify novel diagnostic markers and therapeutic targets that may be missed by single-level analysis.
From Manual Staining to Automation: Due to the multi-step IHC detection itself and the complexity of multiplexing or multi-omics detection, automation has streamlined the IHC workflow, reducing manual errors and increasing throughput. Automated platforms for slide staining, image acquisition and analysis have improved the reproducibility and efficiency of IHC experiments, making them more accessible to researchers.
From Physical to Digital Pathology: The integration of IHC with digital pathology platforms enables high-resolution imaging and quantitative analysis of stained tissue sections. Digital pathology facilitates data sharing, collaboration and the development of algorithms to analyze and compare tissue specimens. The high-resolution images also serve as a permanent data record. This is extremely important for fluorescence-based detections, and a must when many times technologies involving multiple rounds of detections are used.
APS Comprehensive Support to Various Types of Study
Due to the inherent complexity of IHC experiments and the growing need to understand the expression of multiple protein markers and their spatial relationships, obtaining consistent and high-quality data can pose significant challenges. As a leading histopathology laboratory, APS has dedicated extensive efforts to validate essential markers across various research areas. With cutting-edge imaging and staining equipment, coupled with our expertise in antibody validation, antibody screening, humanized antibody detection, multiplex staining, multiplex RNA detection and imaging analysis, APS scientists are well-prepared to assist your team in achieving its research goals.
For more information about our specific validated antibody list, platforms and technologies, please visit our website at www.appliedpathology.com or contact us via email at info@appliedpathology.com.